El tratamiento experimental podría prevenir la metástasis 'durmiendo' a las células cancerosas
EUROPA PRESS –
Un nuevo enfoque terapéutico impide el crecimiento de tumores metastásicos en ratones al obligar a las células cancerosas a entrar en un estado de letargo en el que son incapaces de proliferar. El estudio, publicado en la revista 'Journal of Experimental Medicine', podría dar lugar a nuevos tratamientos que impidan la reaparición o propagación de varios tipos de cáncer, como el de mama y el carcinoma de células escamosas de cabeza y cuello (HNSCC).
Muchos pacientes con cáncer recaen, a menudo años o décadas después de su tratamiento inicial, y desarrollan nuevos tumores que vuelven a crecer en el mismo lugar o hacen metástasis (se extienden) a otras partes del cuerpo.
Estos tumores secundarios suelen ser resistentes al tratamiento y son producidos por células tumorales individuales que pueden permanecer inactivas durante largos periodos antes de reactivarse para empezar a proliferar de nuevo. Por lo tanto, la recaída de los pacientes podría evitarse si los investigadores pudieran encontrar una forma de mantener las células cancerosas restantes en estado latente.
En un estudio anterior, María Soledad Sosa, de la Facultad de Medicina Icahn del Monte Sinaí, y Julio A. Aguirre-Ghiso, ahora en la Facultad de Medicina Albert Einstein, descubrieron que la capacidad de las células cancerosas de permanecer en estado latente está controlada por una proteína llamada NR2F1.
Esta proteína receptora puede entrar en el núcleo de la célula y encender o apagar numerosos genes para activar un programa que impide que las células cancerosas proliferen. Los niveles de NR2F1 suelen ser bajos en los tumores primarios, pero son elevados en las células cancerosas diseminadas latentes. Los niveles de la proteína NR2F1 vuelven a disminuir cuando las células cancerosas empiezan a proliferar de nuevo y forman tumores recurrentes o metastásicos.
"Por tanto, pensamos que la activación de NR2F1 mediante una pequeña molécula podría ser una estrategia clínica atractiva para inducir la latencia de las células cancerosas y prevenir la recidiva y la metástasis", explica Aguirre-Ghiso.
En este nuevo estudio, los equipos de Sosa y Aguirre-Ghiso utilizaron un método de cribado informático para identificar un fármaco, denominado C26, que activa el NR2F1. Los investigadores descubrieron que el tratamiento de células de HNSCC derivadas de pacientes con C26 aumentaba los niveles de NR2F1 y detenía la proliferación celular.
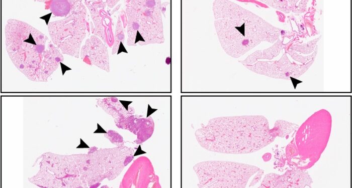
A continuación, los investigadores comprobaron si el C26 evitaría la metástasis en ratones. Los animales a los que se les inyectan células de HNSCC derivadas de pacientes suelen formar grandes tumores primarios que se extienden a los pulmones tras la extirpación quirúrgica del tumor original.
El tratamiento con C26 redujo el tamaño de los tumores primarios y, tras la cirugía, nuevas dosis de C26 bloquearon completamente el crecimiento de los tumores metastásicos. En cambio, los pulmones de los roedores sólo contenían unas pocas células cancerosas diseminadas e inactivas, incapaces de proliferar incluso tras el cese del tratamiento.
Los equipos de Sosa y Aguirre-Ghiso determinaron que, al activar el NR2F1, el C26 obliga a las células cancerosas a entrar en un estado de latencia de larga duración caracterizado por un patrón único de actividad génica.
Los pacientes con cáncer cuyos tumores presentan un patrón similar de actividad génica tienden a pasar más tiempo sin recaer, lo que sugiere que inducir este programa de latencia con fármacos del tipo C26 podría ser eficaz en humanos.
"Los fármacos que activan el NR2F1 podrían ser especialmente útiles en el cáncer de mama. El NR2F1 está muy enriquecido en los tumores ER-positivos en comparación con los ER-negativos, y la activación del NR2F1 podría ser capaz de suprimir el despertar de las células cancerosas latentes mantenidas en ese estado por las terapias anti-estrógeno", afirma Sosa.
Sin embargo, dado que el tratamiento con C26 eleva los niveles de NR2F1, el enfoque también podría ser útil para otros tipos de cáncer con niveles inherentemente bajos de la proteína receptora. "En general, nuestro estudio revela una estrategia basada en un mecanismo y diseñada racionalmente para explotar la latencia activada por NR2F1 como opción terapéutica para prevenir la recaída metastásica", concluye Aguirre-Ghiso.

